Masson染色(胶原纤维)
Masson三色染色(Masson‘s Trichrome Stain)是一种经典的多色组织化学技术,通过联合应用酸性染料(如丽春红、苯胺蓝)与金属媒染剂,使胶原纤维呈现蓝色或绿色,肌纤维/胞质呈红色,细胞核呈深棕色或黑色。该技术具有超高对比度和结构分辨力,是评估纤维化病变(如肝纤维化、心肌瘢痕)的金标准,广泛应用于:纤维化定量(胶原沉积面积计算),肿瘤间质分析(如乳腺癌促纤维增生反应),肌肉病理(肌纤维萎缩/增生鉴别)!
Masson三色染色(Masson‘s Trichrome Stain)是一种经典的多色组织化学技术,通过联合应用酸性染料(如丽春红、苯胺蓝)与金属媒染剂,使胶原纤维呈现蓝色或绿色,肌纤维/胞质呈红色,细胞核呈深棕色或黑色。该技术具有超高对比度和结构分辨力,是评估纤维化病变(如肝纤维化、心肌瘢痕)的金标准,广泛应用于:纤维化定量(胶原沉积面积计算),肿瘤间质分析(如乳腺癌促纤维增生反应),肌肉病理(肌纤维萎缩/增生鉴别)!
一、Masson染色技术概述
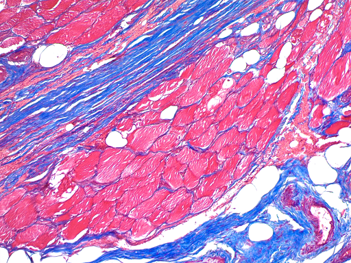
Masson三色染色(Masson's Trichrome Stain)是一种经典的多色组织化学技术,通过联合应用酸性染料(如丽春红、苯胺蓝)与金属媒染剂,使胶原纤维呈现蓝色或绿色,肌纤维/胞质呈红色,细胞核呈深棕色或黑色。该技术具有超高对比度和结构分辨力,是评估纤维化病变(如肝纤维化、心肌瘢痕)的金标准,广泛应用于:纤维化定量(胶原沉积面积计算),肿瘤间质分析(如乳腺癌促纤维增生反应),肌肉病理(肌纤维萎缩/增生鉴别)!
二、Masson染色技术的应用领域
病理诊断
检测纤维化疾病(如肝纤维化、肺纤维化、肾纤维化等),评估胶原沉积程度。
区分肿瘤组织与正常组织,分析肿瘤间质中胶原纤维的分布。
科研领域
研究组织修复与再生机制,观察创伤愈合过程中胶原纤维的动态变化。
评估药物或治疗手段对纤维化疾病的干预效果。
动物实验与模型分析
在心血管疾病、皮肤损伤等动物模型中,定量分析胶原含量。
三、技术服务流程
样本要求
接受石蜡切片、冰冻切片或细胞爬片(需提前沟通样本类型及固定方式)。
样本需经规范固定(如4%多聚甲醛)、脱水、包埋处理。
染色步骤
染色流程:核染色(苏木素)→ 分色 → 胞质染色(红染液)→ 胶原纤维染色(蓝/绿染液)→ 脱水透明 → 封片。
质控标准:每批次染色设置阳性对照,确保染色结果稳定可靠。
结果交付
提供高清数字病理图像(可通过扫描仪生成全片图像)。
可选增值服务:胶原面积定量分析、病理学解读报告。
四、服务特点与优势
专业化团队
由经验丰富的病理技术员和科研人员操作,确保染色的一致性和准确性。
定制化方案
根据实验需求调整染色方案(如特殊组织类型或染色对比度优化)。
快速周期
常规样本3-7个工作日内完成染色及分析,加急服务可选。
五、适用客户群体
医院病理科、高校及科研院所的生命科学实验室。
生物医药企业(如抗纤维化药物研发部门)。
六、技术优势对比
相较于常规HE染色,Masson染色能更特异性地凸显胶原纤维,定量分析结果更具说服力;与天狼星红染色相比,Masson染色成本更低,且兼容常规显微镜观察(无需偏振光)。
七、服务保障
数据保密:签署保密协议,确保客户样本与数据安全。
八、联系我们
如果您需要Masson染色技术服务或进一步了解技术细节,欢迎联系我们的技术支持团队。我们将根据您的需求提供个性化解决方案,助力您的科研与临床项目高效推进!

扫一扫,联系我们!