PAS染色(中性粘液和杯状细胞)
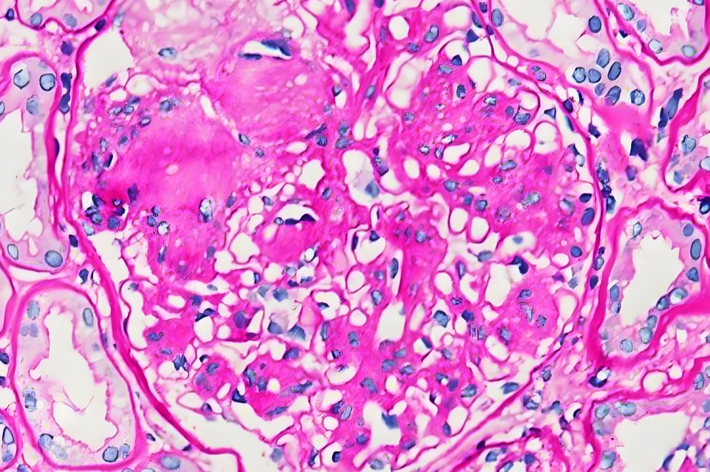
PAS(过碘酸-Schiff)染色是一种经典的中性粘液物质与糖原特异性标记技术,通过过碘酸氧化糖类中的乙二醇基团生成醛基,再与Schiff试剂反应形成紫红色沉淀。该技术能清晰显示:杯状细胞分泌的中性粘液(如胃肠道、呼吸道黏膜),糖原储存(如肝细胞、肌细胞),基底膜结构(如肾小球基底膜增厚评估)!
PAS(过碘酸-Schiff)染色是一种经典的中性粘液物质与糖原特异性标记技术,通过过碘酸氧化糖类中的乙二醇基团生成醛基,再与Schiff试剂反应形成紫红色沉淀。该技术能清晰显示:杯状细胞分泌的中性粘液(如胃肠道、呼吸道黏膜),糖原储存(如肝细胞、肌细胞),基底膜结构(如肾小球基底膜增厚评估)!
一、 技术简介
PAS(过碘酸-Schiff)染色是一种经典的中性粘液物质与糖原特异性标记技术,通过过碘酸氧化糖类中的乙二醇基团生成醛基,再与Schiff试剂反应形成紫红色沉淀。该技术能清晰显示:杯状细胞分泌的中性粘液(如胃肠道、呼吸道黏膜),糖原储存(如肝细胞、肌细胞),基底膜结构(如肾小球基底膜增厚评估)!
二、 服务内容
本技术服务提供针对中性粘液和杯状细胞的PAS染色服务,具体内容包括:
样本处理: 接收客户提供的石蜡包埋组织块或切片,进行脱蜡、水化等预处理。
PAS染色: 严格按照标准操作流程进行PAS染色,包括过碘酸氧化、雪夫试剂染色、苏木素复染等步骤。
结果观察与分析: 使用显微镜观察染色结果,并对中性粘液和杯状细胞的染色情况进行拍照和分析。
提供报告: 提供详细的实验报告,包括实验方法、染色结果图片及分析说明。
三、 技术优势
经验丰富: 拥有专业的实验技术人员和丰富的PAS染色经验,确保染色结果的准确性和可靠性。
设备先进: 配备先进的染色设备和显微镜,保证染色效果清晰、稳定。
服务周到: 提供从样本接收到结果分析的全程服务,并根据客户需求提供个性化的实验方案。
四、 应用领域
PAS染色(中性粘液和杯状细胞)技术服务可应用于以下研究领域:
胃肠道疾病研究: 观察胃肠道黏膜中杯状细胞的数量和形态变化,辅助诊断炎症性肠病、肠癌等疾病。
呼吸系统疾病研究: 观察呼吸道黏膜中杯状细胞的数量和形态变化,辅助诊断慢性支气管炎、哮喘等疾病。
肿瘤研究: 观察肿瘤组织中中性粘液的分布和含量变化,辅助肿瘤的诊断和鉴别诊断。
五、技术特点:
高对比度:紫红色阳性信号与蓝色复染背景形成鲜明对比
病理诊断价值:用于黏液性肿瘤(如卵巢黏液性癌)分类
联用灵活:可与阿尔新蓝(AB-PAS)组合区分酸/中性粘液
操作稳定:石蜡/冰冻切片均适用,结果重复性好
六、 注意事项
样本要求:石蜡包埋组织块或切片,厚度4-5微米。
请提供详细的样本信息,包括组织类型、固定方式等。
本技术服务仅用于科研用途,不用于临床诊断。
七、适用客户群体
医院病理科、高校及科研院所的生命科学实验室。
生物医药企业(如抗纤维化药物研发部门)。
八、服务保障
数据保密:签署保密协议,确保客户样本与数据安全。
九、联系我们
如果您需要Masson染色技术服务或进一步了解技术细节,欢迎联系我们的技术支持团队。我们将根据您的需求提供个性化解决方案,助力您的科研与临床项目高效推进!
我们期待与您的合作!

扫一扫,联系我们!