吉姆萨染色(嗜铬细胞)
吉姆萨染色(Giemsa Staining)是一种经典的多色性染色技术,通过天青-伊红复合染料对嗜铬细胞(如肾上腺髓质细胞)及神经内分泌颗粒进行特异性显色,呈现蓝紫色至粉红色的典型颗粒状结构。该技术能清晰显示嗜铬颗粒的分布密度及细胞形态,对嗜铬细胞瘤和神经内分泌肿瘤的诊断具有重要价值。其优势在于染色稳定性高、操作简便,并可兼容常规石蜡切片与细胞涂片,是内分泌病理学和神经生物学研究的常用方法。
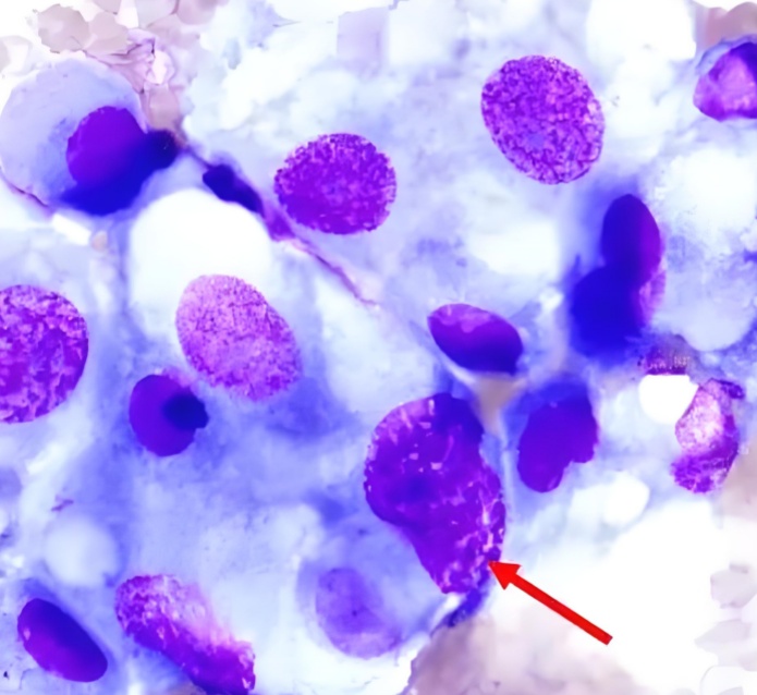
吉姆萨染色(Giemsa Staining)是一种经典的多色性染色技术,通过天青-伊红复合染料对嗜铬细胞(如肾上腺髓质细胞)及神经内分泌颗粒进行特异性显色,呈现蓝紫色至粉红色的典型颗粒状结构。该技术能清晰显示嗜铬颗粒的分布密度及细胞形态,对嗜铬细胞瘤和神经内分泌肿瘤的诊断具有重要价值。其优势在于染色稳定性高、操作简便,并可兼容常规石蜡切片与细胞涂片,是内分泌病理学和神经生物学研究的常用方法。
一、吉姆萨染色技术概述
吉姆萨染色(Giemsa Staining)是一种经典的多色性染色技术,通过天青-伊红复合染料对嗜铬细胞(如肾上腺髓质细胞)及神经内分泌颗粒进行特异性显色,呈现蓝紫色至粉红色的典型颗粒状结构。该技术能清晰显示嗜铬颗粒的分布密度及细胞形态,对嗜铬细胞瘤和神经内分泌肿瘤的诊断具有重要价值。其优势在于染色稳定性高、操作简便,并可兼容常规石蜡切片与细胞涂片,是内分泌病理学和神经生物学研究的常用方法。
二、吉姆萨染色的应用领域
嗜铬细胞研究
观察嗜铬细胞的形态特征及嗜铬颗粒的分布。
研究嗜铬细胞瘤(Pheochromocytoma)等疾病的病理变化。
细胞学研究
用于血涂片、骨髓涂片的染色,区分不同细胞类型。
检测细胞凋亡、细胞分裂等细胞活动。
病原体检测
用于寄生虫(如疟原虫)、细菌和病毒的染色检测。
药物研发
评估药物对嗜铬细胞功能的影响。
三、吉姆萨染色原理
吉姆萨染液由亚甲蓝、伊红和天青等染料组成,能够与细胞中的酸性成分(如DNA、RNA)和碱性成分(如蛋白质)结合。嗜铬细胞中的嗜铬颗粒富含儿茶酚胺类物质,与吉姆萨染液中的染料结合后呈现特定的颜色(通常为蓝紫色或紫红色),从而在显微镜下清晰可见。
四、技术服务流程
样本要求
接受细胞涂片、组织切片或细胞爬片(需提前沟通样本类型及固定方式)。
样本需经规范固定(如甲醇或乙醇固定)。
染色步骤
固定:用甲醇或乙醇固定样本5-10分钟。
染色:将样本浸入稀释的吉姆萨染液中,染色20-30分钟。
冲洗:用蒸馏水或缓冲液轻轻冲洗,去除多余染液。
干燥:自然晾干或冷风吹干。
封片:用中性树胶封片,显微镜下观察。
结果判读
嗜铬颗粒:蓝紫色或紫红色颗粒。
细胞核:蓝色或紫蓝色。
细胞质:粉红色或浅蓝色。
五、服务特点与优势
专业化团队
由经验丰富的细胞学技术员和病理研究人员操作,确保染色的一致性和准确性。
定制化方案
根据实验需求调整染色方案(如染色时间、染液浓度优化)。
快速周期
常规样本2-3个工作日内完成染色及分析,加急服务可选。
六、适用客户群体
医院病理科、内分泌科。
高校及科研院所的细胞学和内分泌研究实验室。
生物医药企业(如嗜铬细胞瘤药物研发部门)。
七、技术优势对比
相较于其他染色技术(如HE染色),吉姆萨染色对嗜铬颗粒的显示更为清晰,且能同时展示细胞核和细胞质的细节,特别适用于嗜铬细胞的功能和病理研究。
八、服务保障
数据保密:签署保密协议,确保客户样本与数据安全。
九、联系我们
如果您需要吉姆萨染色技术服务或进一步了解技术细节,欢迎联系我们的技术支持团队。我们将根据您的需求提供个性化解决方案,助力您的科研与临床项目高效推进!
通过专业的吉姆萨染色技术服务,您可以精准捕捉嗜铬细胞的形态和功能信息,为嗜铬细胞瘤等疾病的研究和诊断提供可靠依据。无论是基础研究还是临床应用,吉姆萨染色都是您不可或缺的得力工具!

扫一扫,联系我们!