一、AB-PAS染色技术概述
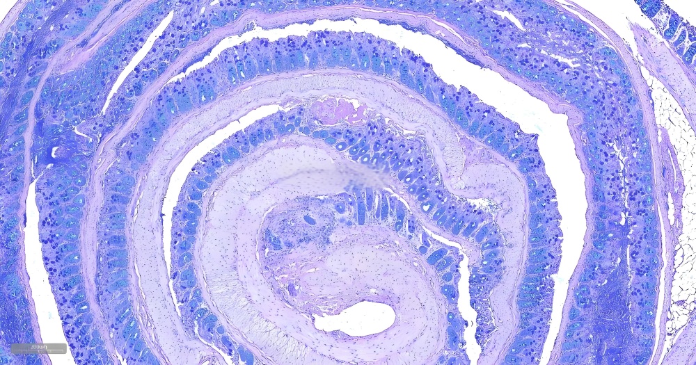
AB-PAS(阿尔新蓝-过碘酸雪夫)染色是一种组织化学联合染色技术,通过阿尔新蓝(Alcian Blue)特异性标记酸性粘多糖(如硫酸化粘蛋白),并利用PAS(Periodic Acid-Schiff)反应检测中性粘液物质(如糖原、糖蛋白),实现在同一张切片上区分两类重要碳水化合物成分。该技术具有高对比度(酸性粘液呈蓝色,中性粘液呈紫红色)和病理诊断价值,广泛应用于胃肠道杯状细胞分型、呼吸道粘液分泌评估及肿瘤微环境研究,尤其对黏液性肿瘤(如卵巢黏液性癌)的鉴别诊断至关重要。
二、AB-PAS染色的应用领域
病理诊断
鉴别胃肠道、呼吸道和生殖系统中的粘液分泌异常(如粘液腺癌、粘液囊肿)。
检测糖原贮积病、糖尿病等代谢性疾病中的糖原沉积。
科研领域
研究粘液分泌细胞的分布与功能(如杯状细胞、粘液腺细胞)。
分析糖原代谢异常与疾病的关系。
药物研发
评估药物对粘液分泌或糖原代谢的影响。
动物实验
在疾病模型中研究粘液分泌或糖原沉积的动态变化。
三、AB-PAS染色原理
阿尔辛蓝染色
阿尔辛蓝是一种阳离子染料,可与酸性粘液物质(如硫酸化粘多糖)中的阴离子基团结合,将其染成蓝色。
PAS染色
过碘酸氧化糖原和糖蛋白中的乙二醇基团,生成醛基;醛基与雪夫试剂(Schiff试剂)反应,形成红色或紫红色沉淀。
四、技术服务流程
样本要求
接受石蜡切片、冰冻切片或细胞爬片(需提前沟通样本类型及固定方式)。
样本需经规范固定(如4%多聚甲醛)、脱水、包埋处理。
染色步骤
阿尔辛蓝染色:切片浸入阿尔辛蓝染液中,染色10-30分钟。
PAS染色:切片依次经过碘酸氧化、雪夫试剂反应。
复染:用苏木素或核固红复染细胞核,增强对比度。
脱水透明:梯度酒精脱水,二甲苯透明。
封片:中性树胶封片,显微镜下观察。
结果判读
酸性粘液物质:蓝色。
中性粘液物质和糖原:红色或紫红色。
细胞核:蓝色(苏木素复染)或红色(核固红复染)。
五、服务特点与优势
专业化团队
由经验丰富的病理技术员和科研人员操作,确保染色的一致性和准确性。
定制化方案
根据实验需求调整染色方案(如特殊组织类型或染色对比度优化)。
快速周期
常规样本3-5个工作日内完成染色及分析,加急服务可选。
六、适用客户群体
医院病理科、检验科。
高校及科研院所的生命科学实验室。
生物医药企业(如代谢性疾病药物研发部门)。
七、技术优势对比
相较于单一染色技术(如PAS染色或阿尔辛蓝染色),AB-PAS染色可同时检测酸性粘液和中性粘液,提供更全面的组织化学信息,尤其适用于复杂样本的分析。
八、服务保障
数据保密:签署保密协议,确保客户样本与数据安全。
九、联系我们
如果您需要AB-PAS染色技术服务或进一步了解技术细节,欢迎联系我们的技术支持团队。我们将根据您的需求提供个性化解决方案,助力您的科研与临床项目高效推进!
通过专业的AB-PAS染色技术服务,您可以精准捕捉组织中的粘液和糖原分布信息,为疾病机制研究和临床诊断提供可靠依据。无论是病理诊断还是科研实验,AB-PAS染色都是您不可或缺的得力工具!
注:可根据客户需求定制方案,以上信息仅供参考。

扫一扫,联系我们!