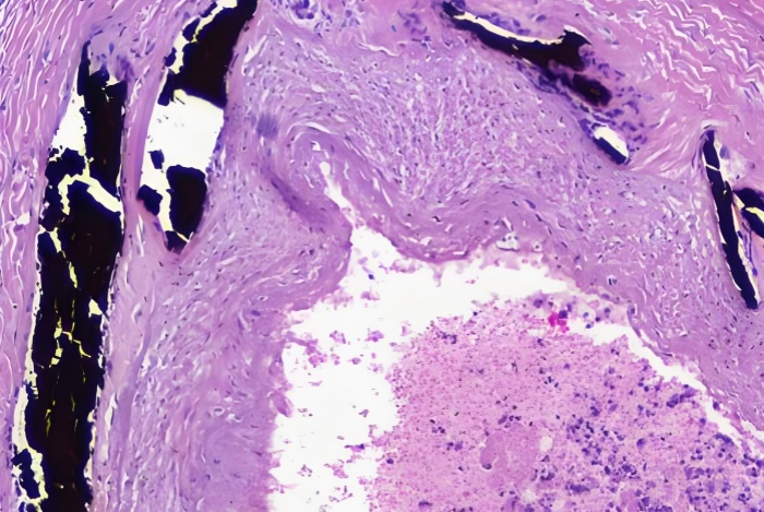
Vonkossa染色(钙化)
Von Kossa染色是一种经典的钙化组织组织化学染色技术,通过硝酸银与钙盐(如磷酸钙、碳酸钙)反应生成黑色银沉淀,再经硫代硫酸钠显色,实现对钙化区域的特异性标记。该技术具有高对比度和广谱适用性,可清晰显示病理钙化(如动脉粥样硬化斑块、肾结石)或生理性钙化(如骨组织)。虽然其原理为钙盐置换反应而非直接染色,但操作简便、成本低廉,是研究异位钙化、骨代谢疾病及硬组织发育的核心技术。
Von Kossa染色是一种经典的钙化组织组织化学染色技术,通过硝酸银与钙盐(如磷酸钙、碳酸钙)反应生成黑色银沉淀,再经硫代硫酸钠显色,实现对钙化区域的特异性标记。该技术具有高对比度和广谱适用性,可清晰显示病理钙化(如动脉粥样硬化斑块、肾结石)或生理性钙化(如骨组织)。虽然其原理为钙盐置换反应而非直接染色,但操作简便、成本低廉,是研究异位钙化、骨代谢疾病及硬组织发育的核心技术。
一、Vonkossa染色技术概述
Von Kossa染色是一种经典的钙化组织组织化学染色技术,通过硝酸银与钙盐(如磷酸钙、碳酸钙)反应生成黑色银沉淀,再经硫代硫酸钠显色,实现对钙化区域的特异性标记。该技术具有高对比度和广谱适用性,可清晰显示病理钙化(如动脉粥样硬化斑块、肾结石)或生理性钙化(如骨组织)。虽然其原理为钙盐置换反应而非直接染色,但操作简便、成本低廉,是研究异位钙化、骨代谢疾病及硬组织发育的核心技术。
二、Vonkossa染色的应用领域
病理诊断
检测动脉粥样硬化中的血管钙化。
诊断肾结石、胆结石等钙化性疾病。
辅助鉴别肿瘤组织中的钙化灶(如乳腺癌、甲状腺癌)。
心血管研究
研究动脉粥样硬化、心脏瓣膜钙化等疾病的发病机制。
评估药物或治疗手段对血管钙化的干预效果。
骨代谢研究
分析骨组织中的钙盐分布,评估骨形成与骨吸收的平衡状态。
软组织钙化研究
研究异位钙化(如肌肉、关节、皮肤等软组织的钙化)。
三、Vonkossa染色原理
Vonkossa染色的原理是基于钙盐与银离子的反应。在染色过程中,组织切片首先与硝酸银溶液反应,钙盐中的磷酸盐或碳酸盐与银离子结合形成磷酸银或碳酸银。随后,在强光或还原剂的作用下,磷酸银或碳酸银被还原为黑色的金属银,从而在钙化区域形成黑色或棕黑色沉淀。未反应的银离子则通过硫代硫酸钠溶液洗脱,避免背景染色。
四、Vonkossa染色实验流程
样本准备
组织样本:取钙化组织(如血管、骨组织)进行固定、脱钙(如为骨组织)、包埋和切片。
细胞样本:钙化细胞培养后直接涂片或爬片。
染色步骤
脱蜡至水:将石蜡切片脱蜡并水化。
硝酸银处理:将切片浸入1%-2%硝酸银溶液中,暴露于强光下10-30分钟。
还原反应:用蒸馏水冲洗切片,去除未结合的银离子。
硫代硫酸钠处理:将切片浸入5%硫代硫酸钠溶液中,去除未反应的银离子。
复染:用核固红或苏木素复染细胞核,增强对比度。
脱水透明:梯度酒精脱水,二甲苯透明。
封片:中性树胶封片,显微镜下观察。
结果判读
钙化区域:黑色或棕黑色沉淀。
细胞核:红色(核固红复染)或蓝色(苏木素复染)。
五、Vonkossa染色的优势
高特异性
通过银还原反应,特异性标记钙盐沉积区域。
灵敏度高
可检测微小的钙化灶,适用于早期钙化病变的研究。
操作简便
染色步骤简单,结果易于观察和分析。
兼容性强
适用于石蜡切片、冰冻切片及细胞涂片等多种样本类型。
六、注意事项
样本处理
骨组织需充分脱钙,避免影响切片质量和染色效果。
染色时间
硝酸银处理时间过长可能导致背景染色加深,需根据样本类型优化时间。
避光操作
硝酸银溶液需避光保存,染色过程中避免强光直射。
七、适用客户群体
医院病理科、心血管科、骨科。
高校及科研院所的钙化相关研究实验室。
生物医药企业(如心血管疾病药物研发部门)。
第三方检测机构与CRO公司。
八、技术支持与服务
操作指南
提供详细的染色操作说明书及优化建议。
技术咨询
专业团队提供染色方案设计、结果解读等技术支持。
九、联系我们
如果您对Vonkossa染色技术或试剂盒感兴趣,欢迎联系我们的销售或技术支持团队。我们将为您提供优质的产品和服务,助力您的科研与临床工作!
Vonkossa染色技术以其高特异性和灵敏度,成为钙化研究的金标准。无论是心血管钙化的病理诊断,还是骨代谢疾病的基础研究,Vonkossa染色都能为您提供可靠的技术支持,助您深入探索钙化相关疾病的机制与治疗策略!
注:可根据客户需求定制方案,以上信息仅供参考。

扫一扫,联系我们!