提供骨组织脱钙(慢脱)/骨组织酸脱(盐酸)技术服务
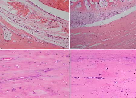
我们提供专业骨组织脱钙技术服务,涵盖慢速脱钙(EDTA)与快速酸脱(盐酸)两种方案,适配不同研究需求。通过优化脱钙时间、pH控制及温度管理,最大限度保留骨组织中细胞形态、蛋白抗原及核酸完整性,确保后续染色(HE、免疫组化IHC、原位杂交等)或分子检测结果精准可靠
我们提供专业骨组织脱钙技术服务,涵盖慢速脱钙(EDTA)与快速酸脱(盐酸)两种方案,适配不同研究需求。通过优化脱钙时间、pH控制及温度管理,最大限度保留骨组织中细胞形态、蛋白抗原及核酸完整性,确保后续染色(HE、免疫组化IHC、原位杂交等)或分子检测结果精准可靠
一、 服务概述
骨组织脱钙技术是病理学、组织学和生物医学研究中不可或缺的关键步骤,主要用于去除骨组织中的钙盐,以便进行后续的切片、染色和观察分析。本服务提供两种骨组织脱钙方法:慢速脱钙(慢脱)和盐酸脱钙(酸脱),以满足不同研究需求。
二、 服务内容
慢速脱钙(慢脱):
原理: 利用螯合剂(如EDTA)与钙离子结合,缓慢去除骨组织中的钙盐。
优点: 对组织结构和抗原性破坏小,适用于后续需要进行免疫组化、分子生物学等实验的样本。
缺点: 脱钙速度慢,通常需要数周甚至数月时间。
适用样本: 小块骨组织,如小鼠股骨、大鼠胫骨等。
盐酸脱钙(酸脱):
原理: 利用盐酸与钙盐反应生成可溶性钙盐,快速去除骨组织中的钙盐。
优点: 脱钙速度快,通常数小时至数天即可完成。
缺点: 对组织结构和抗原性破坏较大,可能影响后续实验结果的准确性。
适用样本: 大块骨组织,如人骨标本、大型动物骨组织等。
三、 服务流程
样本接收: 客户提供新鲜或固定好的骨组织样本,并注明样本类型、数量、实验目的等信息。
脱钙处理: 根据客户需求选择合适的脱钙方法,并进行脱钙处理。
脱钙终点检测: 采用X线摄片、物理检测或化学检测等方法判断脱钙终点。
脱水、透明、浸蜡: 对脱钙后的骨组织进行常规脱水、透明和浸蜡处理。
石蜡包埋、切片: 将处理好的骨组织进行石蜡包埋,并切片。
染色、封片: 根据客户需求进行HE染色、特殊染色或免疫组化染色,并进行封片。
结果交付: 将染色好的切片、实验报告等相关资料交付给客户。
四、 服务优势
专业团队: 拥有经验丰富的技术人员,熟练掌握各种骨组织脱钙技术。
先进设备: 配备先进的脱钙仪、脱水机、包埋机、切片机等设备,确保实验结果的准确性和可靠性。
严格质控: 从样本接收到结果交付,每个环节都进行严格的质量控制,确保实验数据的真实可靠。
个性化服务: 根据客户的具体需求,提供个性化的实验方案和技术支持。
五、 应用领域
病理诊断: 骨肿瘤、骨质疏松、骨关节炎等疾病的病理诊断。
基础研究: 骨发育、骨代谢、骨再生等领域的机制研究。
药物研发: 骨质疏松药物、骨修复材料等的药效评价。
六、 联系我们
如果您有骨组织脱钙方面的需求,欢迎随时联系我们,我们将竭诚为您提供优质的服务。
请注意: 以上介绍仅供参考,具体服务内容和价格请以实际情况为准。

实验流程:
骨组织取材-脱钙-脱水-透明-石蜡包埋-切片
送样运输要求:
样本放置于20倍样本体积的固定液中固定24h以上,常温运输送样。
切勿固定时间过长,切勿冷冻结冰。
